팝업
닫기
ENG
CHN
RUS
MNG
logo
병원소개
진료안내
무릎관절
어깨관절
수부/족부
척추/고관절
척추뇌신경
내과/검진센터
열린마당
병원장인사말
국제바로병원역사관
병원이념
의료진소개
병원둘러보기
의료사회사업
찾아오시는 길
진료예약안내
진료예약
비급여항목
제증명서류발급
전문의 상담
24시 응급실
퇴행성관절염
반월상연골판손상
연골연화증
인대손상
십자인대파열
하지정맥류
치료센터
오십견
회전근개파열
퇴행성관절염
어깨충돌증후군
석회화건염
습관성탈구
관절와순파열
치료센터
손저림
손목터널 증후군
테니스엘보우
방아쇠수지
무지외반증
족저근막염
아킬레스건 파열
발목인대파열
내성발톱,무좀
치료센터
척추관협착증
디스크탈출증
척추전방전위증
척추압박골절
척추측만증
거북목/일자목
근막통증증후군
대퇴골두무혈성괴사
대퇴골두 골단분리증
치료센터
두통
치매
뇌졸중
어지럼증
손발저림
내과센터
유방갑상선외과센터
종합검진센터
(장애인)검진예약
병원소식
언론정보
쿡TV(유튜브영상)
해외의료교류
스타들의 방문
고객의소리
척추/고관절
척추관협착증
척추/고관절
병원소개
진료안내
무릎관절
어깨관절
수부/족부
척추/고관절
척추뇌신경
내과/검진센터
열린마당
멤버쉽
척추관협착증
척추관협착증
디스크탈출증
척추전방전위증
척추압박골절
척추측만증
거북목/일자목
근막통증증후군
대퇴골두무혈성괴사
대퇴골두 골단분리증
치료센터
척추관협착증
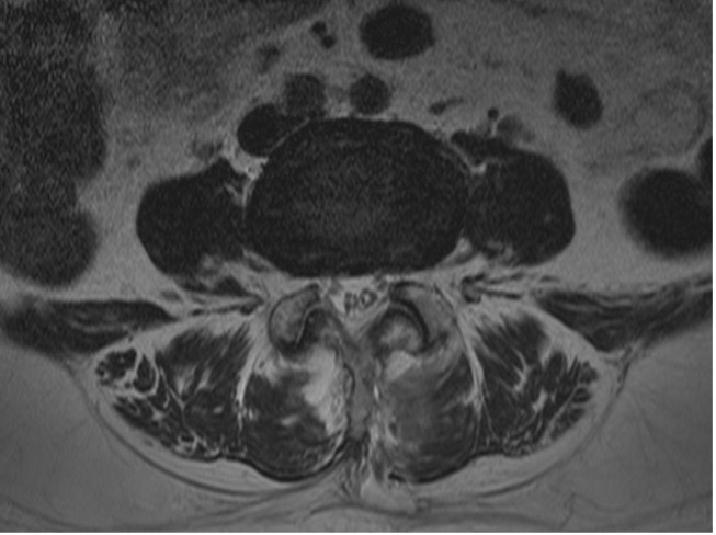
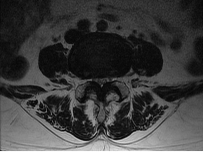
척추관협착증이란
어떤 원인으로 척추 중앙의 척추관, 신경근관 또는 추간공이 좁아져 허리의 통증의 유발하거나 다리에 여러 복합적인 신경증세를 일으키는 질환
입니다.
디스크를 구성하는 수핵과 섬유륜에 퇴행성 변화가 일어나고 척추관을 구성하는 뼈와 인대 등이 두꺼워져 척추 뼈가 어긋나는 경우 척추 신경을 눌러 통증을 일으킵니다.
국제바로병원
척추/고관절 치료정보
하이브리드 디스크치료
양방향 척추내시경수술
급성 신경압박 완화수술
4無신경성형술
비수술 통증차단 치료법
신경차단술
디스크 압력감소 고주파 치료
고주파수액감압술
고관절을 인공관절로 교체
고관절 인공관절수술
마이크로현미경 최소침습수술
최소침습 척추고정술
특발성 허리굽음
척추측만증 변형수술
인체디스크 교체수술
인공디스크 치환술
주요 원인과 증상
원인
· 노화로 인한 퇴행성 변화
· 척추에 무리가 되는 생활습관
· 외상으로 인한 척추 부분 손상
· 선천적 요인
증상
· 보행시 허벅지와 종아리에 통증 및 저림증상 발생
· 허리의 심한 통증보다는 묵직한 불편함
· 장시간 보행을 하지 못하고 화끈거리는 느낌
· 다리 전체에 힘이 빠지고 마비가 되는 느낌
· 심할 경우 배뇨, 배변 장애 발생
치료
보존적 치료
척추관 협착증은 증상이 서서히 진행되는 경우가 많아 당장 수술이 필요한 경우는 드뭅니다. 비 수술 치료와 운동치료를 병행하며 비수술치료시 신경차단술, 신경성형술, 협착부위 풍선확장술 등 을 통해 질환을 호전시킵니다.
수술적 치료
비수술 치료에도 증상이 호전되지 않거나 보행 장애가 심각한 등 일상생활에 지장이 있다면 수술 치료를 시행하며 양방향척추내시경 및 미세현미경레이져수술, 척추유합술 등을 통해 치료합니다.
032
722
8585
진료예약
온라인상담
제증명발급
의료진소개
오시는길
24시간 응급실
TOP
TOP
진료예약
제증명발급
찾아오시는길
24시간 응급실